NERVE TISSUE (GENERAL HISTOLOGY)
7.3
Spinal ganglion 2
Specimen Details:
Specimen Details:
Organ: Spinal Ganglion
Origin: Bovine
Staining: Azan
Method and Specimen Description:
Normal histological specimen stained with Azan, where connective tissue appears blue and erythrocytes and epithelium stain red
Objective of the Examination:
To understand the structure of a spinal ganglion with its pseudo-unipolar neurons and the anterior root of a spinal nerve.
Special Features of the Specimen:
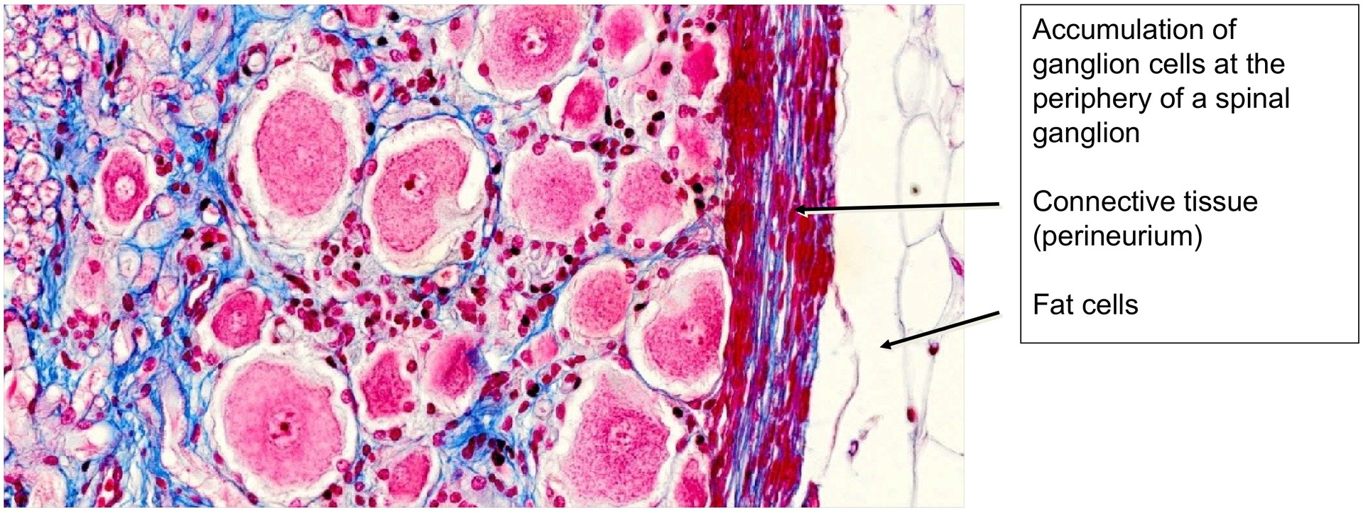
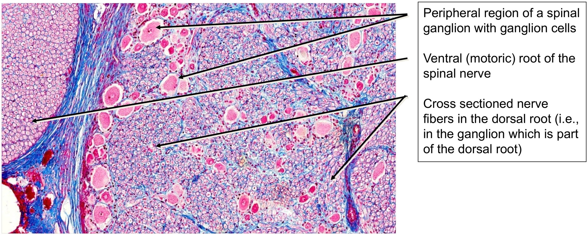
The spinal ganglion (sensory ganglion) lies at the junction between the peripheral nervous system (PNS) and the central nervous system (CNS). It forms part of the dorsal root of the spinal nerve. Alongside the dorsal root ganglion, the afferent (sensory) fibers of the spinal nerve also enter the spinal cord here. The ventral root, by contrast, contains only efferent (motor) fibers, some of which are visible in this specimen.
A large proportion of the ganglion cells are located around the periphery of the ganglion. In these pseudo-unipolar neurons, a single process leaves the perikaryon, dividing shortly afterwards into an axonal (neuritic) and a dendritic branch. The dendritic process transmits impulses from the periphery (for example, from tactile corpuscles in the skin), while the neuritic process continues centrally towards the spinal cord, where it synapses.
Each ganglion cell is enclosed by satellite cells, which may appear slightly separated due to small fixation artefacts. Between the ganglion cells, and particularly in the central region of the ganglion, afferent nerve fibers can be seen, though their myelin sheaths are not well preserved. These fibers are ensheathed by Schwann cells, whose remnants appear after fixation as so-called “neurokeratin”—a term unrelated to true keratin.
The nuclei of the ganglion cells are notably large when visible in section, and in many cells, a prominent nucleolus can be observed.
At the level of the spinal ganglion, the meningeal coverings of the CNS meet the connective tissue sheaths of the PNS (endoneurium, perineurium and epineurium). However, the encapsulation of the ganglion and the anterior motor root more closely resemble the sheath structures of the PNS.
Tasks:
• Using the overview, determine which structures belong to the dorsal and which to the ventral root of the spinal nerve.
• Locate the spinal ganglion within the dorsal root and compare the sizes of the ganglion cells.
• Identify the satellite cells surrounding the ganglion cells.
• Search for perikarya with a distinct nucleus and nucleolus, and identify the afferent nerve fibers within the ganglion.
• Locate a process leaving a pseudo-unipolar ganglion cell.
• Examine the ventral (efferent) root of the spinal nerve and consider how the bundling of nerve fibers is organized.
• Identify Schwann cells within the ventral root and observe the appearance of neurokeratin.
• Search for Schwann cells within the ventral root and assess the “neurokeratin”.






License
University of Basel
Downloads