SKIN AND APPENDAGES (ANATOMICAL MICROSCOPY)
13.4
Labia minora
Specimen:
Specimen Details:
Organ: Labium minus
Origin: Human
Staining: Hematoxylin - Eosin (H&E)
Method and Specimen Description:
Normal histological section with overview staining (H&E).
Objective of the Examination:
To understand the specific histological structure of the labia minora, with particular attention to:
- the sebaceous glands that open directly onto the surface (not into hair follicles), and
- the absence of a subcutis.
Special Features of the Specimen:
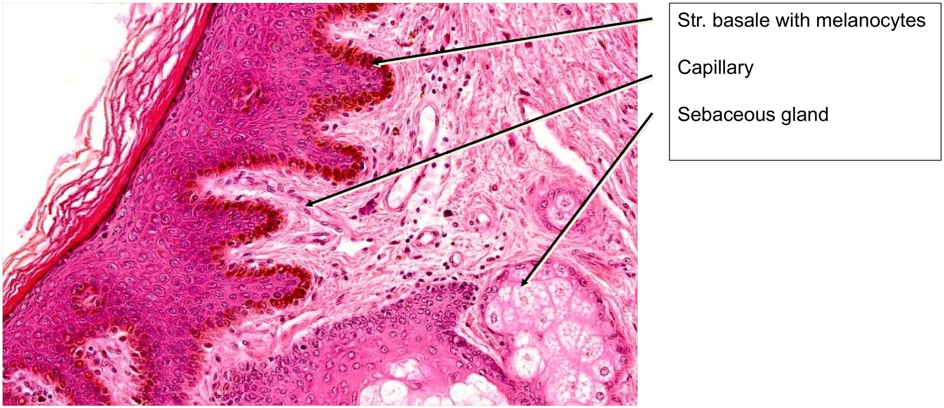
The labia minora consist of a fold of skin composed of epidermis and dermis (corium). A subcutis with adipose tissue is completely absent.
The epithelium is a stratified squamous epithelium:
- On the inner surface, it is non-keratinized.
- On the outer surface, it is weakly keratinized. Accordingly, the stratum granulosum is almost absent on the inner side and limited to 2–3 cell layers on the outer side.
A characteristic feature is the pronounced pigmentation of the stratum basale, more intense than in most other skin regions. Because of the low degree of keratinization, a true stratum lucidum is absent.
Within the dermis of the inner side, numerous sebaceous glands are found. These glands open freely onto the surface and not into hair follicles, unlike typical cutaneous sebaceous glands. They secrete via a holocrine mechanism, meaning that the entire secretory cell degenerates and is released as part of the sebum.
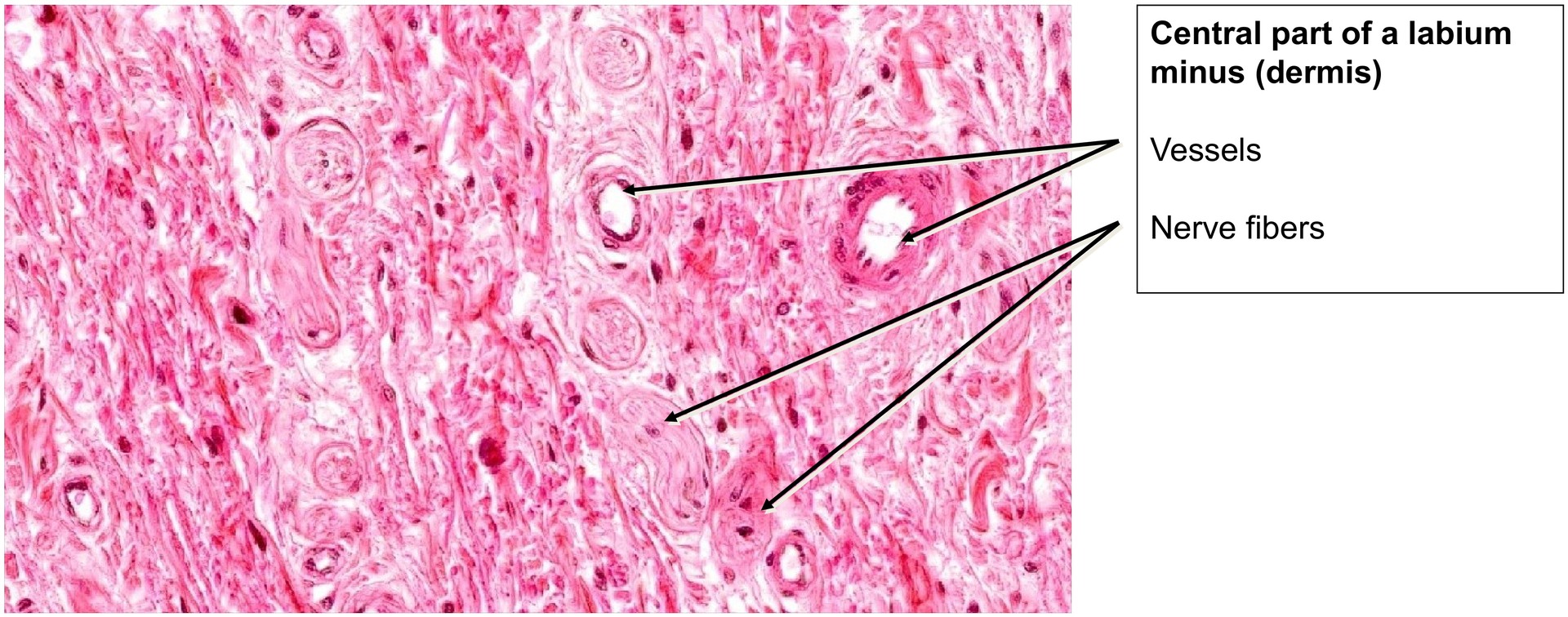
The dermis itself contains no fat cells, but is rich in connective tissue, blood vessels, and nerve fibers. Again, a subcutis is entirely lacking.
Tasks:
- Compare the inner and outer sides of the labia minora and describe the structural differences.
- Identify the epidermal layers. Where is pigmentation strongest?
- Locate the sebaceous glands and determine their secretory mechanism.
- Search for capillaries and nerve fibers in the dermis.

License
University of Basel
Downloads