DRÜSEN (ALLGEMEINE HISTOLOGIE)
3.2
Pankreas, endokrin
Präparat:
Präparatedetails:
Organ: Pankreas
Herkunft: Mensch
Färbung: Fuchsin/Azocarmin/Fastgreen
Methode und Präparat:
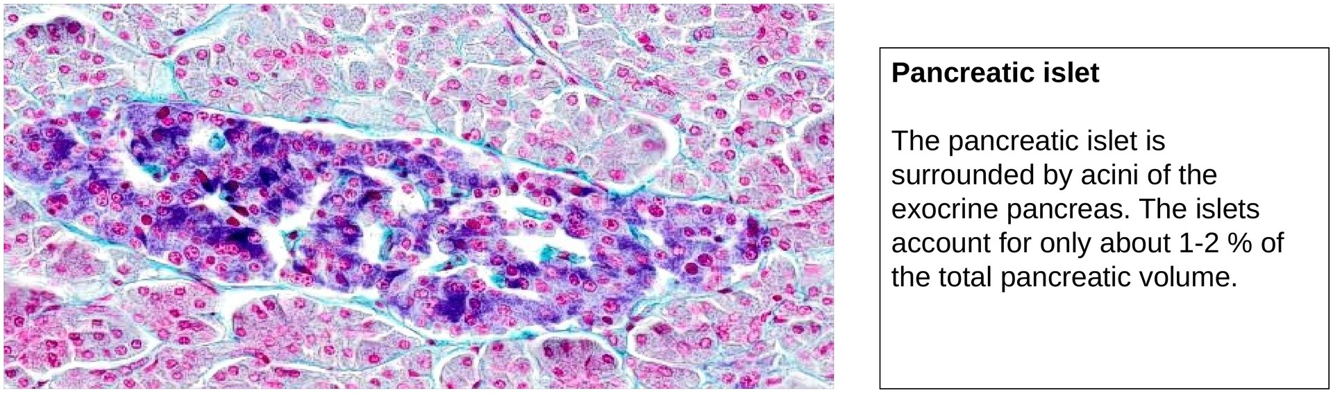
Normales histologisches Schnittpräparat, das mit der spezifischen Färbung vor allem die Pankreas-Inseln deutlich hervorhebt und dort erlaubt mindestens 2 verschiedene Zelltypen zu differenzieren.
Ziel der Untersuchung:
Kenntnis des Aufbaus des endokrinen Anteils (Inselorgan) der Bauchspeicheldrüse.
Besonderheiten des Präparats:
Dieses Präparat ist spezifisch für die Darstellung des Inselorganes gefärbt. Dementsprechend stechen auch schon bei schwacher Vergrösserung die endokrinen Inseln des Pankreas hervor. Ebenfalls wird bereits bei dieser Vergrösserung deutlich, dass die Inseln keinerlei Ausführgänge besitzen, dafür aber ausgezeichnet durchblutet sind.
Mit der spezifischen Färbung (s.o.) lassen sich in den endokrinen Pankreasinseln 2 verschiedene Zelltypen nachweisen: die eher im Randbereich liegenden A-Zellen, die in ihren α-Granula das Hormon Glucagon enthalten. Die meist in zentralen Bereichen der Inseln liegenden B-Zellen mit ihren Insulin enthaltenden β-Granula. Die vereinzelt vorkommenden D-Zellen, die in ihren δ-Granula Somatostatin enthalten, das hier im Pankreas eine Sekretions-regulierende (inhibierende) Funktion hat, sind durch die Färbung praktisch nicht differenziert. Weitere Zelltypen lassen sich bei der von uns angewandten Färbung nicht identifizieren. Das völlige Fehlen von Ausführungsgängen ist ein wichtiger Hinweis auf die endokrine Funktion des Pankreas.
Aufgaben:
Schauen Sie das Präparat erst einmal bei niedriger Vergrösserung an und suchen Sie die Pankreasinseln.
Vergrössern Sie einige Inseln um die darin sichtbaren Zelltypen zu bestimmen. (Je nach Schnittverlauf können die dunkleren A-Zellen nur auf einer Seite oder eventuell sogar im Zentrum liegen).
Beurteilen Sie das Gewebeverhältnis von endokrinem zu exokrinem Pankreas. Versuchen Sie, das Präparat auch ohne Einbezug der Inseln, als Pankreas zu erkennen. Welche Merkmale sind dafür geeignet?





Lizenz
Universität Basel
Downloads